咨询服务热线
在我身边有很多一笑起来就爱捂起嘴的女生,其实很大部分原因都在于,牙齿不好看。 为什么呢?明明有些人,牙齿也还算整齐,甚至够白净。 牙齿不整齐,专业术语叫错颌畸形,后来...
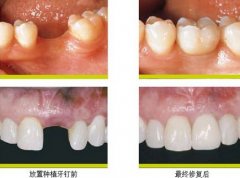
种植牙术后真的不疼吗?一般情况下,到正规大医/院做的种植牙一般是不会有强烈的疼痛的,但是因为种植牙是一个外壳手/术,所以一般都要使用麻/醉,在麻/醉yao效过了以后,可能会...
在关心种植牙寿命之前,想必我们多多少少都了解过种植牙,也知道它的价格并不是像补个牙,种植牙的价格一般在几千到几万元左右,这对于我们来说,也是一笔不小的开支,那我花...
自1月6日孙周大讲堂开讲以来,同学们的学习热情不断高涨,这一周,大家温习巩固了第一期宋忠霞主任讲授的瓷贴面的标准化操作的理论知识后,积极地准备实战操练。1月13日,孙周...